logo
  

Diş Kaplama

Get the Flash Player to see this player.

 

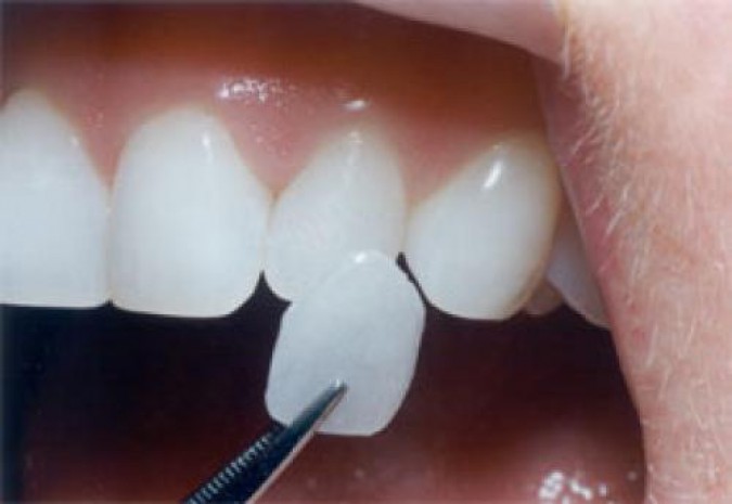
Diş Kaplaması ( kuron kaplama ) nedir ve niçin kullanılır?
Bir dişin üzerinin porselenden yapılmış estetik bir materyalle tam olarak kaplanmasına denilmektedir. Kron Kaplama dişin çevresinden 1 mm kadar kesilerek küçültülmesi ile yapılmaktadır. Amacı dişi güzelleştirmek, sağlamlaştırmak , korumak ve dişe çok kaliteli bir estetik sunmaktır.

 

Kuron kaplama aşağıdaki durumlarda yapılmaktadır:
1-)Yeterince diş desteğinin olmaması durumunda estetiği yeniden kazandırmak ve hastaya daha emin bir gülüş ifadesi katmak için,
2-)Zayıf dişlerin kırılmasını önlemek için
3-)Bir diş implantına üst yapı olarak,
4-)Kırık, şekli bozuk veya renklenmiş dişleri kaplamak için,
5-)Büyük bir dolguyu restore etmek için.



Yukarı da sayılan tüm maddeler öncesinde dişin öncelikli olarak restoratif dolgularla tedavi edilip edilmeyeceğini de mutlaka değerlendirmek ve kaplama tedavisini kontrolsüz bir istekle uygulamamak gerekmektedir.

 


Kuron kaplamalar için en uygun malzeme hangisidir ?
Diş hekiminiz dişlerinizin durumunu değerlendirerek sizin için bu konuda bir karara varacaktır. Bugün en çok tercih edilen malzemeler tamamen porselenden yapılmış kaplamalar ,zirkonyum alt yapılı kaplamalar veya metal destekli porselen kaplamalardır. Aralarındaki fark tam porselen ve zirkonyum alt yapılı kaplamaların daha estetik olmasıdır.



MENU
- Hizmetler
- Hakkımızda
- Sertifikalar
- Galeri
- İletişim

- Haberler



logo Hakkımızda    Sertifikalar    Hizmetler    Galeri    Sorular    Acil Durumlar
Toplam Hizmet Sayısı: 21 Aktif Ziyaretci: 18     |     Toplam Ziyaretci: 894817     |     Toplam Sayfa Gösterimi: 1180878