logo
  

Amalgam Dolgu

Get the Flash Player to see this player.

 

Çeşitli travmalar sonucu veya bakterilerin faaliyetleri sonucu (çürük) diş in sert dokularında kayıplar meydana geldiğinde, biyolojik uyumlu malzemelerle sağlık, estetik ve fonksiyon olarak diş in geri kazanılmasıdır.

Diş çürükleri diş hekiminin sıklıkla karşılaştığı hastalıklardan birisidir. Hastalar çoğunlukla diş lerde doku kaybı gözle görülür hale gelene kadar farkedemezler. Diş hekimlerinin bile zor farkedeceği yerlerde çürükler meydana gelebilir, bu nedenle 6 ayda 1 ağız içi muayene çürüklerin erken teşhisi için şarttır. Böylece diş lerde fazla harabiyet olmadan tedavi yapılabilir.

 

Çürüklerin nedenleri:
Ağızda bulunan şekerli ve unlu yiyeceklerin ağızda kalan artıklarından bakterilerin de yardımıyla asit oluşabilmektedir. Bu asitler, diş lerin mineral dokusunu çözerek diş in minesinin bozulmasına ve sonuçta da diş çürüğünün başlamasına neden olmaktadırlar.
DolgularBeslenmelerinde karbonhidratlı ve şekerli yiyeceklerin oranı çok yüksek olanlar, daha fazla çürük tehlikesi altındadırlar.
Bakteri plağı tarafından oluşturulan asite karşı tükürük doğal bir savunma mekanizması oluştursa da tek başına çürüğü önleyemez. Tükürük akışını ve miktarını azaltan hastalıklar ya da ilaçlar da çürük oluşumunu hızlandırmaktadırlar. Bu nedenle de diş hekimleri tükürük akışını arttırdığı için şekersiz sakızları sıklıkla önerirler.

 

Çürüklerin erken evrede belirtileri:
- Soğuk / sıcak hassasiyetler
- Şekerli gıdalarda aşırı duyarlılık
- Yemek sırasında diş arasına gıda birikmesi ve buna bağlı kötü koku
- Yemek sırasında diş arasına gıda sıkışmasına bağlı basınç ağrısı

 

Çürüklerin geç evrede belirtileri (erken evredekilere ilaveten):
- Aşırı harabiyet sonrası diş lerde kırılmalarDolgular
- Soğuk / sıcak hassasiyetlerin 5 dakikadan fazla sürmesi
- Gece baş gösteren diş ağrıları
- Dişe yakın bölgelerde ağız içi / dışı şişlik
Özetle ısı farkları, gıda birikintileri, şekerlerdeki küçük hassasiyetler basit ve orta boy diş çürüklerini ifade ederken, aşırı hassasiyetler, gece ağrısı ve yüzün şişmesi aşırı çürükleri ya da diş in çok ağır bir hastalığını ifade eder.
Geç evredeki diş lerin iç dokuları yani damar / sinirleri de (pulpa) enfekte olduğu için, kanal tedavisi ve yardımcı tedavilerle (apikal rezeksiyon vs.) diş kurtarılabilirse üzerine dolgu yapılabilir.

 

Dolgu Nasıl Yapılır?

Günümüzde kullanılan dolgu maddelerinin çoğu sadece diş e tutunur, yapışmaz. Bu nedenle diş hekimleri dolgu yaparken bazı tutucu önlemler alırlar. Bu önlemler özel tutucu oyukların hazırlanmasıyla mümkün olur. Dolgu yaparken ana kural olarak iyi bir kavite (oyuk) hazırlanır ve diş e yapılacak dolguyla çürükten önceki doğal biçimi tekrar verilmeye çalışılır.

Bazen diş lerde doku kayıpları o kadar çok olur ki, çürük temizlendikten sonra diş in iç dokularıyla (pulpa) dış ortam arasında çok az bir mesafe kalır. Bu durumlarda pulpanın hemen üzerindeki sert dokunun (dentin) doğal yollarla kalınlaşmasını kolaylaştırmak için özel bir kalsiyum malzemesi sürülür; bu işleme kuafaj denir.

 

Dolgu Maddeleri

Dolgu maddesini seçerken diş hekimleri maddenin arka diş lerde çiğneme basıncına dayanabilmesini; ön diş lerde mümkün olduğunca fark edilmemesini; diş e ve diş özüne zarar vermemesini göz önüne alırlar.

 

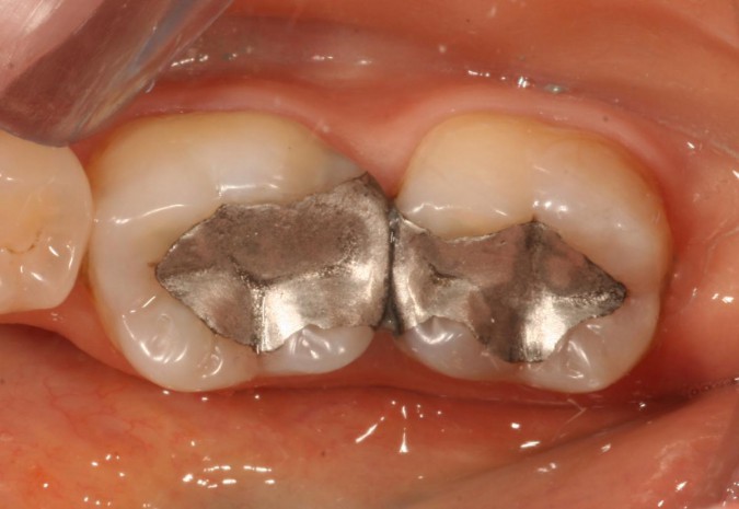
1. Amalgam Dolgular (Metal / Gümüş Dolgular)

Çok dayanıklı ve ekonomik bir dolgu maddesidir, fakat görünümü estetik değildir. İçinde % 45 gümüş, % 30 kalay, % 24 bakır ve az miktarda çinkodan oluşan tozun civa ile karıştırılmasıyla hazırlanır. Karışım diş hekimi tarafından hazırlanan oyuğa yerleştirilir, şekillendirilir ve dolgu birkaç saatte sertleşir.
Amalgam dolgular sertleşme sırasında genleşerek diş e daha sıkı tutunurlar, bu nedenle diş in dolgu kenarlarından yeniden çürüme olasılığı kompozitlere nazaran daha zordur.
Özellikle azı diş leri için günümüzde kullanılan en iyi dolgu maddesidir. 150 yıldan beri geliştirilerek kullanılmakta olan amalgam dolgular, çok sayıda diş in korunarak ağızda kalmasına hizmet etmiştir.

 

Amalgamdaki civa zararlı mıdır?
Amalgam dolgudaki civa zehirli değildir. Civa diğer metallerle birleştiğinde kimyasal yapısı değişir ve zararsız hale geçer. Çiğneme ve öğütme sonucunda ağızda açığa çıkan civa miktarı su, hava ve yiyeceklerde alınan miktardan çok daha küçüktür. Deniz dibi canlılarında da (midye, barbun vs.) yüksek oranda ağır metaller (civa vb.) bulunur.

 

Diş hekimleri amalgamı niçin tercih ederler?
Amalgam hala en zararsız, en uzun ömürlü ve en ucuz dolgu maddesidir. Yılda, bir milyardan fazla amalgam dolgu yapıldığı hesaplanmıştır. Diğer dolgu maddelerine oranla çok daha kısa zamanda ve kolay uygulanabilirler. Porselen, altın ve beyaz dolgular gibi dolgu malzemeleri hem daha pahalıdırlar hem de daha çok zaman ve dikkat isterler. Ayrıca altının dışındakiler amalgam kadar uzun ömürlü değildir.
Amalgam ancak civaya alerjisi kesin olarak tespit edilenlerde kullanılmamalıdır ki, bu da yüzde birden çok daha düşük bir olasılıktır. Gerekmediğinde amalgam dolgular sökülmemelidir. Çünkü hem gereksiz masraf getirmekte hem de diş e zarar verme olasılığını arttırmaktadır.

 

Amalgam restorasyon sonrası hastaya uyarılar
- En az 2 saat birşey yememek gerekir
- İlk 12 saat soğuk sıcak tüketimlerden kaçınılmalıdır
- 24 saat geçtikten sonra yüzeyini parlatma / pürüzsüz hale getirme (polisaj) işlemi yapılmalıdır. Böylece hem kaygan yüzey elde edilerek yiyeceklerin tutunması engellenir hem de oksitlenmesi önlenir
- Amalgam dolgulardan sonra kısa süreli bir sıcak-soğuk duyarlılığı olabilmekte ve bu zamanla kaybolmaktadır
- Ender olsa da bazı kişilerde ağızda çeşitli metaller bulunduğunda (protez) ya da çatal gibi başka bir metal girdiğinde elektriklenmeden doğan hassasiyetler olabilmektedir.Geçmeyen duyarlılıklarda duyarlılığın yalnızca bu sebepten olduğuna emin olduktan sonra restorasyonu metal olmayan bir restoratif madde ile değiştirmek çözüm olabilir

 

2. Kompozit Dolgular (Reçine / Beyaz Dolgular)

Teknoloji ile geliştirilmiş reçineden oluşan estetik dolgu maddeleridir, fakat amalgam kadar dirençli değillerdir. En çok ön diş lerde kullanılırlar.

Kompozit dolgular, hazırlanmış kavitelere tabaka tabaka yerleştirilir ve her tabaka özel bir ışık ile sertleştirilir (bu yüzden halk arasında ışınlı dolgu da denir). Bu işlem bitince kompozit dolgular diş e göre şekillendirilir ve düzeltilir. Bütün bu işlemler amalgam dolgu işleminden daha uzun sürer.
Kompozitler ışıkla sertleştirildiği esnada mikro düzeyde büzülme yaşar. Gözle görülemeyecek derece küçük olsa da büzülme bölgelerinden diş in tekrar çürümesi olasıdır. Bu yüzden kompozit dolgunun temizlik sırasında ulaşılabilir yüzeylere yapılması tercih nedenidir.

 

Diş hekimleri kompoziti niçin tercih ederler?
Bu dolguların en büyük avantajları estetik olmalarıdır. Ayrıca bu dolgular diş lere iyice bağlandığı için diş dokularını destekleyerek kırılmaları ve sıcaklık geçmesini engeller ve diş ten daha az kesim yapılmasına olanak verir.

Kompozitler, yalnızca çürükleri restore etmek için değil, diş lerin rengini ve biçimini değiştirerek kozmetik etkileri için de (laminate uygulama) kullanılabilmektedirler.
En önemli dezavantajı işlem sonrası duyarlılıkların olmasıdır.

 

Kompozit restorasyonlar sonrası hastalara uyarılar
- İşlem sonrası yeme / içme serbesttir
- İlk zamanlar hassasiyetler olabilir
- Polisaj işlemi aynı seansta yapılabilir. Ancak çok büyük restorasyonlarda ya da birçok diş için yapılan seri restorasyonlarda hasta bir defa daha kontrole çağırılabilir, varsa gerekli düzeltmeleri yapılır, böylece hem estetik hem fonksiyon açısından çok daha iyi sonuç alınır
- Dolguların renkleri, kahve, çay gibi boyayıcı yiyeceklerle de hafifçe değişebilir, çoğu sadece polisajla giderilebilir
- Ön diş lerde kesici kenarlar restore edildiyse, ısırmada dikkatli olunması restorasyonların ömrünü uzatır

 

3. İnlay dolgular
İnlayler döküm dolgulardır. Dolgu için şekillendirilmiş oyuğun (kavite) ölçüsü alındıktan sonra, laboratuvarda metal, altın, porselen veya kompozitten hazırlanır ve diş e yapıştırılır. Özel teknik ve çok hassas çalışma gerektirir.

Dolgular diş in sağlığını, fonksiyonunu ve estetiğini geri kazandırmanın en ucuz ve en kestirme yoludur. Erken teşhis ve tedaviler için mutlaka 6 ayda 1 diş hekimine muayene olmak gerekir.



MENU
- Hizmetler
- Hakkımızda
- Sertifikalar
- Galeri
- İletişim

- Haberler



logo Hakkımızda    Sertifikalar    Hizmetler    Galeri    Sorular    Acil Durumlar
Toplam Hizmet Sayısı: 21 Aktif Ziyaretci: 14     |     Toplam Ziyaretci: 894812     |     Toplam Sayfa Gösterimi: 1180873